An aneurysm is a balloon-like bulge in an artery. Aneurysms can form in arteries of all sizes. An aneurysm occurs when the pressure of blood passing through part of a weakened artery forces the vessel to bulge outward, forming what you might think of as a blister. Not all aneurysms are life threatening. But if the bulging stretches the artery too far, this vessel may burst, causing a person to bleed to death. An aneurysm that bleeds into the brain can lead to stroke or death.
Where do aneurysms occur in the body?
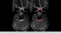
- In the tiny arteries that supply blood to the brain (the cerebral arteries).
- In parts of the large vessel that carries blood from the heart to other parts of the body (the aorta). Aortic aneurysms can occur in the area below the stomach (abdominal aneurysms) or in the chest (thoracic aneurysms). An abdominal aortic aneurysm (AAA) is usually located below the kidneys.
- In the heart’s main pumping chamber (the left ventricle).
Why do I need surgery?
Different operations treat the different kinds of aneurysms. Surgery to treat aortic aneurysms, those that occur in the body’s main artery, depends on the size and location of the aneurysm and your overall health. Aortic aneurysms in the upper chest (the ascending aorta) are usually operated on right away. Aneurysms in the lower chest and the area below your stomach (the descending thoracic and abdominal parts of the aorta) may not be as life threatening. Aneurysms in these locations are watched for varying periods, depending on their size. If they become about 5 centimeters (almost 2 inches) in diameter, continue to grow, or begin to cause symptoms, you may need surgery to repair the artery before the aneurysm bursts.
What does the surgery involve?
Surgery involves replacing the weakened section of the vessel with an artificial tube, called a graft. This means that surgeons will have to open either the stomach area (for abdominal aneurysms) or the chest (for thoracic aneurysms).
The cardiovascular surgeon leads the surgical team, which includes other assisting surgeons, an anesthesiologist, and surgical nurses. When the operation begins, the surgeon will make a cut (called an incision) either in the abdomen or the chest. The incision depends on where the aneurysm is located.
Surgeons will then place clamps on the artery above and below the aneurysm to stop blood flow to that part of the aorta. Your heart and brain still get blood because other vessels take over.
The bulging section of the aorta is cut out (excised). The surgeon will then replace the missing piece with a fabric tube called a graft. The clamps are then removed slowly to allow blood to flow through the vessel again.
Sometimes surgeons do not cut out the bulging section of the aorta. In these cases, the operation is the same except that surgeons place the fabric graft inside the vessel, like a lining, to decrease the pressure on the wall of the artery. This procedure is called endoaneurysmorrhaphy.
If the aneurysm is located in the ascending aorta just above the heart, the heart-lung machine will be used.
The surgery takes about 2 to 4 hours.
Recovery time
You can expect to stay in the hospital for 5 to 7 days, including at least 1 to 2 days in the Intensive Care Unit (ICU).
You will be given medicines called diuretics, which help to control any fluid buildup after surgery. You may also need to take aspirin for the first 6 weeks after surgery to stop any blood clots from forming.
Life after aneurysm surgery
After aneurysm surgery, your doctor will recommend that you join a cardiac rehabilitation program. These programs help you make lifestyle changes such as modifying your diet, exercising to get your strength back, quitting smoking, maintaining a healthy weight, and learning to deal with stress.
If you have an office job, you can go back to work in about 4 weeks. If you have a more physically demanding job, you may have to wait 6 to 8 weeks, or more.
Non-surgical repair of abdominal aortic aneurysms
Cardiologists at the Texas Heart Institute were among the first to use a nonsurgical technique to treat high-risk patients with abdominal aortic aneurysms. This technique is useful for patients who cannot have surgery because their overall health would make it too dangerous.
The procedure uses a catheter to insert a device called a stent graft. The stent graft is placed within the artery at the site of the aneurysm. The stent graft acts as a barrier between the blood and the diseased wall of the artery. The blood flows through the stent graft, decreasing the pressure on the wall of the weakened artery. This decrease in pressure can prevent the aneurysm from growing or bursting.
Benefits of the procedure include no general anesthesia (you are awake for the procedure), a shorter hospital stay (about 24 hours), a faster recovery, and no large scars. Time and experience will prove whether this procedure will eliminate the long-term risk of an aneurysm’s bursting.

